您现在的位置是:主页 > 品牌 > 青岛钰森眼科医院用毫米间的艺术,为两岁的她重启“光”的旅程

青岛钰森眼科医院用毫米间的艺术,为两岁的她重启“光”的旅程

时间:2026-01-21 16:11  来源:未知  阅读次数: 复制分享 我要评论

  在青岛钰森眼科医院一楼温暖的诊室里,两岁的小悦悦(化名)睁开明亮的大眼睛,好奇地打量着周围的一切。站在一旁的妈妈瞬间湿了眼眶——这个简单的、属于所有健康孩子的动作,于她们而言,却是一条走了数百多个日夜,最终在青岛钰森眼科医院得以抵达的漫长路途。几天前,国内知名白内障专家、青岛钰森眼科医院院长黄钰森教授,为悦悦成功实施了一项极为精细复杂的联合手术:“白内障超声乳化摘除+后囊环形撕开+IOL Berger间隙植入术”。这不仅是一次技术的胜利,更是一个家庭希望的重新点亮。

  一、 迷雾中的童年:当发育性白内障遮蔽了探索世界的窗

  悦悦的故事始于一个看似平常却让父母心碎的发现。半年前,家人觉察到她的眼神似乎不那么灵动,对色彩鲜艳的玩具反应迟缓,后来,看书本或手机近乎贴着面部,走路也比同龄孩子更显谨慎,后来甚至无法避开障碍物。经过当地医院检查,一个冰冷的诊断降临:“双眼发育性白内障”。

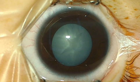
  发育性白内障,指在儿童视觉发育期内 发生的晶状体混浊。不仅包括“先天性”的所有病因,还包括一些后天获得性但在发育期内发生的因素。这层长在眼睛里的“白雾”,如同一幅永远擦不干净的毛玻璃,严重阻碍了光线进入眼内,剥夺了视网膜接收清晰影像的机会。对于视觉系统处于黄金发育关键期的婴幼儿(0-3岁尤为关键),这种剥夺如果时间过长,就会导致行觉剥夺性弱视,即便后期手术成功,视力的提高也相对困难,影响孩子终身的视力、视功能乃至整体认知发育。

  悦悦的父母陷入了焦虑与迷茫。他们辗转多方咨询,得到的共识是:必须尽快手术。然而,另一个问题随之而来:给孩子做手术,风险有多大?那么小的眼睛,能经受得住手术吗?术后效果如何?未来会不会有后遗症?传统的手术方式,往往面临后发性白内障发生率高、继发性青光眼、炎症反应重、屈光状态波动及近视漂移等挑战,这对孩子和家庭都是巨大的身心负担。

  二、 一缕精准的曙光:量身定制的超微创手术方案

  经人推荐,悦悦的父母带着最后也是最大的希望,来到了青岛钰森眼科医院,找到了黄钰森院长。黄院长是国内最早一批专注于复杂白内障及儿童白内障诊治的专家之一,在业内以技术精湛、理念前沿、勇于挑战复杂病例而著称。

  面对悦悦清澈却又被白内障遮蔽的眼眸,黄钰森院长组织了院内多学科团队(包括小儿眼科、白内障科、视光科、麻醉科、护理部)进行了全面、审慎的评估。检查结果显示,悦悦双眼晶状体中央区混浊明显,已严重影响视功能发育,手术刻不容缓。但如何为这两颗娇嫩如初露、却又被疾病困扰的眼球,设计出最优化的手术路径?

  经过缜密分析,黄钰森院长决定突破常规,为悦悦“量眼定制”一套融合了当前儿童白内障手术最前沿理念的联合术式:“白内障超声乳化摘除+后囊环形撕开+IOL Berger间隙植入”。这个听起来专业的名词组合,实则是环环相扣、旨在为悦悦未来数十年视觉健康铺就坚实路基的系统工程。

  1. 白内障超声乳化:以“微”克坚的清除艺术手术第一步,是在角膜边缘制作一个不足3毫米的微创切口。通过这个微小的通道,黄院长将超声乳化探头轻柔地伸入眼内。在显微镜下,混浊的晶状体核被高效乳化并吸除,同时保留包裹它的囊袋(就像一个透明的“袋子”)尽可能完整。这一步要求术者拥有极其稳定的手法和丰富的经验,任何多余的能量或操作都可能损伤娇嫩的眼内结构,尤其是儿童更为脆弱的角膜内皮细胞和虹膜组织。

  2. 后囊环形撕开:为未来扫清“迷雾”的未雨绸缪清除混浊晶状体后,并非万事大吉。儿童眼内细胞活性极高,术后残留的晶状体上皮细胞极易增生、迁移,在原本透明的后囊膜上形成一层新的混浊膜,即“后发性白内障”,这是导致儿童白内障术后视力再次下降的最常见原因。为了最大程度预防这一并发症,黄院长在手术中实施了一项关键操作:后囊环形撕开。用精细的显微器械,在后囊膜中央区域精准地撕开一个直径约4-5毫米的圆形开口。这个操作显著降低了后发性白内障的发生率,一定程度为孩子长久的清晰视界提前“排雷”。

  IOL Berger间隙植入:寻找人工晶体的“黄金位点”摘除自身混浊晶状体后,眼内就失去了最重要的屈光介质。为悦悦植入一枚合适度数的人工晶体(IOL),是帮助她重建清晰视力的核心。然而,植入哪里才是最理想的位置?传统囊袋内植入是标准做法,但在儿童眼中,囊袋收缩力强,未来发生人工晶体偏位、夹持的风险相对较高。黄钰森院长此次为悦悦选择的,是更为前沿、符合生理的 “Berger间隙”植入。Berger间隙,又称囊袋-玻璃体间隙,是位于晶状体后囊膜与玻璃体前界膜之间一个潜在的、充满房水的自然解剖间隙。将人工晶体植入此间隙,具有多重理论优势:

  卓越的长期稳定性IOL的支撑襻被牢固地卡在自身有弹性的囊袋内,而光学部在后方间隙中“锚定”,形成“囊袋内-囊袋后”的双重固定。这种结构能极大抵抗IOL的偏位、倾斜或脱位使晶体光学部能更好地居于视轴中心。

  最大化的微创与生理性完整保留了玻璃体前界膜及玻璃体的自然结构,最大程度维持了眼内环境的生理平衡,降低了术后炎症、黄斑水肿、视网膜脱离等远期并发症的风险

  减少囊袋相关并发症由于光学部后移,与后囊膜无接触,且对囊袋的机械应力小,这能有效延缓或避免囊袋的过度纤维化、混浊(后发障)以及囊袋的挛缩

  该手术难度极高,对手术者的空间判断力、显微操作稳定性和解剖熟悉度都是顶级考验。

  三、 毫米之间的匠心:一场守护未来的手术

  手术日,在经验丰富的儿科麻醉团队保驾护航下,悦悦安然进入梦乡。手术室里,只有显微镜照明系统发出柔和的光,以及超声乳化设备极细微的声响。黄钰森院长凝神静气,坐在显微镜前,他的双手通过精密的器械,在悦悦的眼球内,展开了一场无声的毫米级雕琢。

  每一步都如履薄冰,却又行云流水。乳化吸除、皮质抛光、后囊环形撕开……最终,那枚精心选择度数、具备良好生物相容性的人工晶体,被缓缓推注进入眼内,在黄院长的精细调整下,稳稳地“坐”在了Berger间隙的理想位置。手术切口微小到无需缝合,自行闭合。整个过程耗时不到一小时,创伤极小,出血极少。

  术后第一天,当为悦悦轻轻揭开敷料进行复查时,在场所有人都看到了令人欣慰的一幕:悦悦的眼球表面安静,结膜无明显充血,角膜清澈透明,植入的人工晶体位置正位。更重要的是,通过小儿视力评估设备初步检查,悦悦的眼底红光反射明亮而均匀,这意味着光线已经可以畅通无阻地刺激她的视网膜。虽然年幼的她尚无法用语言表达,但她开始更频繁地转动眼睛追随眼前的玩具,对光的反应明显敏锐。不再需要将物体贴在“面部”、能够清晰避开门框、地面玩具等障碍物、能够不通过声音就看到妈妈……这些细微的变化,让悦悦的父母激动不已。

  四、 超越手术:全周期视觉健康管理体系的支撑

  在青岛钰森眼科医院,一台成功的手术仅仅是儿童先天性白内障治疗长征路上的第一步。黄钰森院长强调:“儿童白内障的治疗是一个‘系统工程’,手术摘除混浊和植入晶体只是打开了视光通路的大门,后续的视力提高、视功能重建、弱视训练、屈光矫正以及长期的随访管理,才是决定孩子最终视觉功能恢复高度的关键。”

  术后,医院视光中心及小儿眼病团队立即介入,为悦悦进行了检影验光,并为其配戴了临时性的框架眼镜(用于矫正我们为悦悦预留的远视储备值)。同时,制定了详细的弱视训练方案,指导家长在家中通过适量遮盖疗法、视觉刺激等方式,刺激和锻炼悦悦“沉睡”已久的视觉中枢,促进双眼视功能的建立与融合。

  医院还建立了完善的终身随访档案。悦悦将在术后1周、1个月、3个月、6个月、1年及此后每年,接受包括视力、眼压、屈光状态、人工晶体位置、眼底情况等在内的全面检查,动态监控她的眼部发育和视觉质量,及时调整治疗方案。这种贯穿手术前后、直至成年甚至更久的全周期、一站式管理服务,正是青岛钰森眼科医院在处理复杂儿童眼病方面的核心优势之一。

  五、 以技术为基,以仁心为灯

  悦悦的案例,是青岛钰森眼科医院在复杂白内障及儿童眼病领域深厚技术积淀的一个缩影。黄钰森院长表示:“每一个来到我们这里的孩子,都承载着一个家庭的未来和希望。面对他们,我们不仅要考虑如何成功完成今天的手术,更要深思熟虑,规划他们未来十年、二十年乃至更久远的视觉健康。‘白内障超声乳化+后囊环形撕开+IOL Berger间隙植入’这项联合技术,正是这种理念的实践——它融合了清除病灶、预防并发症、优化视觉质量和保障长期稳定性的多重目标。另外,我们允许一位家长全程陪同患儿进入手术准备间,直至孩子在您的安抚与陪伴下安全完成全身麻醉,平稳入睡后,您再安心离开对于年幼的孩子而言,陌生的手术室环境与和家人的分离是恐惧的主要来源。这项举措正是为了从根本上缓解这种“分离性焦虑”。家长会亲眼看到麻醉医生如何温柔、专业地引导孩子进入梦乡,这不仅能极大减轻孩子心理上的创伤记忆,也让家长对我们医疗团队的操作与关怀有最直接的见证,从而放下心中最大的担忧。”

  青岛钰森眼科医院始终秉持“技术精益求精,服务全心全意”的宗旨,在白内障诊疗领域不断深耕。医院引进了国际顶尖的手术显微镜、超声乳化设备、眼科生物测量仪及全套小儿眼科检查设备,为高难度手术的开展提供了硬件保障。更重要的是,这里汇聚了以黄钰森院长为核心的一批经验丰富、敢于创新的专家团队,他们不仅在技术上追求毫米级的精准,更在服务中注入人文关怀的温暖。

  从悦悦眼中驱散迷雾,重启光明,这不仅仅是现代眼科显微技术的胜利,更是医者仁心与科学精神结合的典范。青岛钰森眼科医院用行动证明,即使面对最娇嫩的眼眸、最复杂的病情,通过精准的个体化方案设计和精湛的显微手术技艺,依然能够为孩子们赢回一个清晰、明亮、充满无限可能的未来。